30 min
0 CLP

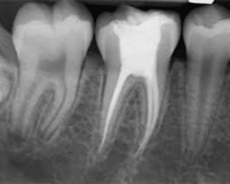
La endodoncia es un procedimiento odontológico que actúa sobre la pulpa dental, se utiliza para tratar caries profundas que han atravesado el esmalte y la dentina y han llegado a la pulpa, produciendo una infección de la misma conocida como pulpitis. La técnica consiste en acceder a esta zona profunda de la pieza dental, extraer la pulpa mediante instrumentos especiales, y rellenar la cavidad con un material inerte.
La endodoncia es un procedimiento odontológico que actúa sobre la pulpa dental, se utiliza para tratar caries profundas que han atravesado el esmalte y la dentina y han llegado a la pulpa, produciendo una infección de la misma conocida como pulpitis. La técnica consiste en acceder a esta zona profunda de la pieza dental, extraer la pulpa mediante instrumentos especiales, y rellenar la cavidad con un material inerte.
30 min
0 CLP

30 min
0 CLP

El tratamiento de ortodoncia se utiliza para la mal oclusión dental que ocasiona apiñamientos y posiciones inadecuadas de las piezas dentales. Se puede realizar mediante aparatología fija que está compuesta de elementos adheridos a los dientes (bandas y brackets) a los que se ancla firmemente unos finos arcos elásticos de aleación metálica (níqueltitanio) mediante un conjunto de ligaduras.
El tratamiento de ortodoncia se utiliza para la mal oclusión dental que ocasiona apiñamientos y posiciones inadecuadas de las piezas dentales. Se puede realizar mediante aparatología fija que está compuesta de elementos adheridos a los dientes (bandas y brackets) a los que se ancla firmemente unos finos arcos elásticos de aleación metálica (níqueltitanio) mediante un conjunto de ligaduras.
30 min
0 CLP

Se denomina cirugía oral y maxilofacial a la especialidad médica que se dedica al estudio, prevención, diagnóstico, tratamiento y rehabilitación de las enfermedades congénitas y adquiridas del cráneo, cara, cabeza y cuello, cavidad oral y maxilares (incluyendo la dentición). La patología adquirida puede ser de origen tumoral, traumático, por degeneración o envejecimiento.
Se denomina cirugía oral y maxilofacial a la especialidad médica que se dedica al estudio, prevención, diagnóstico, tratamiento y rehabilitación de las enfermedades congénitas y adquiridas del cráneo, cara, cabeza y cuello, cavidad oral y maxilares (incluyendo la dentición). La patología adquirida puede ser de origen tumoral, traumático, por degeneración o envejecimiento.
30 min
0 CLP

Consiste en la reposición de unidades dentales perdidas por medio de la colocación de implante dental de titanio insertados en los maxilares, a manera de raíces de dientes colocadas dentro del hueso y que luego pueden portar coronas dentales artificiales diseñada para ello. Esta técnica quirúrgica, requiere de estudio, planificación y ejecución cuidadosa soporte.
Consiste en la reposición de unidades dentales perdidas por medio de la colocación de implante dental de titanio insertados en los maxilares, a manera de raíces de dientes colocadas dentro del hueso y que luego pueden portar coronas dentales artificiales diseñada para ello. Esta técnica quirúrgica, requiere de estudio, planificación y ejecución cuidadosa soporte.
30 min
0 CLP

Es la rama de la odontología encargada de tratar a los niños. También de detectar posibles anomalías en la posición de los maxilar eso dientes. El tratamiento restaurador se compone de tratar los traumatismos, usar selladores que tienen la función de obturar levemente los surcos y fisuras de las piezas dentales sin apenas quitar material dental. Y en tratar las caries y sus consecuencias.
Es la rama de la odontología encargada de tratar a los niños. También de detectar posibles anomalías en la posición de los maxilar eso dientes. El tratamiento restaurador se compone de tratar los traumatismos, usar selladores que tienen la función de obturar levemente los surcos y fisuras de las piezas dentales sin apenas quitar material dental. Y en tratar las caries y sus consecuencias.
30 min
0 CLP

30 min
0 CLP

Es una especialidad médico-quirúrgica odontológica que estudia la prevención, diagnóstico y tratamiento de las enfermedades y condiciones que afectan los tejidos que dan soporte a los órganos dentarios (encía, ligamento periodontal, cemento radicular y hueso alveolar). El tratamiento consiste en eliminar la infección existente limpiando a fondo toda la boca, bajo anestesia local. La higiene oral es fundamental para tratar este tipo de problemas. Sólo de este modo se consigue una terapia eficaz.
Es una especialidad médico-quirúrgica odontológica que estudia la prevención, diagnóstico y tratamiento de las enfermedades y condiciones que afectan los tejidos que dan soporte a los órganos dentarios (encía, ligamento periodontal, cemento radicular y hueso alveolar). El tratamiento consiste en eliminar la infección existente limpiando a fondo toda la boca, bajo anestesia local. La higiene oral es fundamental para tratar este tipo de problemas. Sólo de este modo se consigue una terapia eficaz.
30 min
0 CLP
30 min
$180.000 CLP
30 min
$45.000 CLP
30 min
$1.700.000 CLP
30 min
$2.500.000 CLP
30 min
$770.000 CLP
30 min
$1.300.000 CLP
60 min
0 CLP