ESTE ESTUDIO SE REALIZA EN SUCURSAL ZAPOPAN, SUCURSAL LAPIZLAZULI , SUCURSAL TLAQUEPAQUE, SUCURSAL CENTRO GUADALAJARA, SUCURSAL SALTO, SUCURSAL CENTRO SUR.
ESTE ESTUDIO SE REALIZA EN SUCURSAL ZAPOPAN, SUCURSAL LAPIZLAZULI , SUCURSAL TLAQUEPAQUE, SUCURSAL CENTRO GUADALAJARA, SUCURSAL SALTO, SUCURSAL CENTRO SUR.
30 min
0 MXN
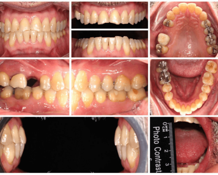
El escáner intraoral y extraoral, superior e inferior, consiste en tecnologías de digitalización en 3D que capturan la anatomía dental (dientes, encías y oclusión) para crear modelos virtuales precisos, eliminando la necesidad de moldes físicos de alginato o silicona. ESTE ESTUDIO SE REALIZA EN SUCURSAL ZAPOPAN, SUCURSAL LAPIZLAZULI , SUCURSAL TLAQUEPAQUE, SUCURSAL CENTRO GUADALAJARA, SUCURSAL SALTO, SUCURSAL CENTRO SUR.
El escáner intraoral y extraoral, superior e inferior, consiste en tecnologías de digitalización en 3D que capturan la anatomía dental (dientes, encías y oclusión) para crear modelos virtuales precisos, eliminando la necesidad de moldes físicos de alginato o silicona. ESTE ESTUDIO SE REALIZA EN SUCURSAL ZAPOPAN, SUCURSAL LAPIZLAZULI , SUCURSAL TLAQUEPAQUE, SUCURSAL CENTRO GUADALAJARA, SUCURSAL SALTO, SUCURSAL CENTRO SUR.
30 min
0 MXN

ASISTIR CON BOCA ASEADA , PRESENTARSE 10 MINUTOS ANTES DE SU ESTUDIO. EN CASO DE ALGUNA INDICACION ESPECIAL CONSULTARLO CON SU DOCTOR. ESTE ESTUDIO SE REALIZA EN SUCURSAL ZAPOPAN, SUCURSAL LAPIZLAZULI , SUCURSAL TLAQUEPAQUE, SUCURSAL CENTRO GUADALAJARA, SUCURSAL SALTO, SUCURSAL CENTRO SUR.
ASISTIR CON BOCA ASEADA , PRESENTARSE 10 MINUTOS ANTES DE SU ESTUDIO. EN CASO DE ALGUNA INDICACION ESPECIAL CONSULTARLO CON SU DOCTOR. ESTE ESTUDIO SE REALIZA EN SUCURSAL ZAPOPAN, SUCURSAL LAPIZLAZULI , SUCURSAL TLAQUEPAQUE, SUCURSAL CENTRO GUADALAJARA, SUCURSAL SALTO, SUCURSAL CENTRO SUR.
30 min
0 MXN

PARA ESTE ESTUDIO SE REQUIERE RETIRAR OBJETOS DE METAL DEL CUELLO HACIA ARRIBA, BOCA LAVADA , SIN MAQUILLEJE , ASISTIR A SU CITA POR LO MENOS 10 MINUTOS ANTES. LOS RESULTADOS DE ESTE ESTUDIO SE ENTREGARAN DE 4 a 7 DIAS HABILES. ESTE ESTUDIO SE REALIZA EN SUCURSAL ZAPOPAN, SUCURSAL LAPIZLAZULI , SUCURSAL TLAQUEPAQUE, SUCURSAL CENTRO GUADALAJARA, SUCURSAL SALTO, SUCURSAL CENTRO SUR.
PARA ESTE ESTUDIO SE REQUIERE RETIRAR OBJETOS DE METAL DEL CUELLO HACIA ARRIBA, BOCA LAVADA , SIN MAQUILLEJE , ASISTIR A SU CITA POR LO MENOS 10 MINUTOS ANTES. LOS RESULTADOS DE ESTE ESTUDIO SE ENTREGARAN DE 4 a 7 DIAS HABILES. ESTE ESTUDIO SE REALIZA EN SUCURSAL ZAPOPAN, SUCURSAL LAPIZLAZULI , SUCURSAL TLAQUEPAQUE, SUCURSAL CENTRO GUADALAJARA, SUCURSAL SALTO, SUCURSAL CENTRO SUR.
45 min
0 MXN

PARA ESTE ESTUDIO SE REQUIERE BOCA LAVADA , SIN MAQUILLEJE , ASISTIR A SU CITA POR LO MENOS 10 MINUTOS ANTES. LOS RESULTADOS DE ESTE ESTUDIO SE ENTREGARAN DE 4 a 7 DIAS HABILES. ALGUNA INDICACION ESPECIAL CONSULTARLO CON SU DOCTOR ESTE ESTUDIO SE REALIZA EN SUCURSAL ZAPOPAN, SUCURSAL LAPIZLAZULI , SUCURSAL TLAQUEPAQUE, SUCURSAL CENTRO GUADALAJARA, SUCURSAL SALTO, SUCURSAL CENTRO SUR.
PARA ESTE ESTUDIO SE REQUIERE BOCA LAVADA , SIN MAQUILLEJE , ASISTIR A SU CITA POR LO MENOS 10 MINUTOS ANTES. LOS RESULTADOS DE ESTE ESTUDIO SE ENTREGARAN DE 4 a 7 DIAS HABILES. ALGUNA INDICACION ESPECIAL CONSULTARLO CON SU DOCTOR ESTE ESTUDIO SE REALIZA EN SUCURSAL ZAPOPAN, SUCURSAL LAPIZLAZULI , SUCURSAL TLAQUEPAQUE, SUCURSAL CENTRO GUADALAJARA, SUCURSAL SALTO, SUCURSAL CENTRO SUR.
30 min
0 MXN

30 min
0 MXN

PARA ESTE ESTUDIO SE REQUIERE RETIRAR OBJETOS DE METAL DEL CUELLO HACIA ARRIBA, ASISTIR A SU CITA POR LO MENOS 10 MINUTOS ANTES. SI EXISTE LA POSIBILIDAD DE QUE SE ENCUENTRE EMBARAZADA, SOLICITAR AUTORIZACION DE SU MEDICO ANTES DE TOMARSE LA RADIOGRAFIA E INFORMARLE ALA PERSONA QUE LE VA A TOMAR EL ESTUDIO. ESTE ESTUDIO SE REALIZA EN SUCURSAL ZAPOPAN, SUCURSAL LAPIZLAZULI , SUCURSAL TLAQUEPAQUE, SUCURSAL CENTRO GUADALAJARA, SUCURSAL SALTO, SUCURSAL CENTRO SUR.
PARA ESTE ESTUDIO SE REQUIERE RETIRAR OBJETOS DE METAL DEL CUELLO HACIA ARRIBA, ASISTIR A SU CITA POR LO MENOS 10 MINUTOS ANTES. SI EXISTE LA POSIBILIDAD DE QUE SE ENCUENTRE EMBARAZADA, SOLICITAR AUTORIZACION DE SU MEDICO ANTES DE TOMARSE LA RADIOGRAFIA E INFORMARLE ALA PERSONA QUE LE VA A TOMAR EL ESTUDIO. ESTE ESTUDIO SE REALIZA EN SUCURSAL ZAPOPAN, SUCURSAL LAPIZLAZULI , SUCURSAL TLAQUEPAQUE, SUCURSAL CENTRO GUADALAJARA, SUCURSAL SALTO, SUCURSAL CENTRO SUR.
15 min
0 MXN

PARA ESTE ESTUDIO SE REQUIERE RETIRAR OBJETOS DE METAL DEL CUELLO HACIA ARRIBA, ASISTIR A SU CITA POR LO MENOS 10 MINUTOS ANTES. SI EXISTE LA POSIBILIDAD DE QUE SE ENCUENTRE EMBARAZADA, SOLICITAR AUTORIZACION DE SU MEDICO ANTES DE TOMARSE LA RADIOGRAFIA E INFORMARLE ALA PERSONA QUE LE VA A TOMAR EL ESTUDIO. ESTE ESTUDIO SE REALIZA EN SUCURSAL ZAPOPAN, SUCURSAL LAPIZLAZULI , SUCURSAL TLAQUEPAQUE, SUCURSAL CENTRO GUADALAJARA, SUCURSAL SALTO, SUCURSAL CENTRO SUR.
PARA ESTE ESTUDIO SE REQUIERE RETIRAR OBJETOS DE METAL DEL CUELLO HACIA ARRIBA, ASISTIR A SU CITA POR LO MENOS 10 MINUTOS ANTES. SI EXISTE LA POSIBILIDAD DE QUE SE ENCUENTRE EMBARAZADA, SOLICITAR AUTORIZACION DE SU MEDICO ANTES DE TOMARSE LA RADIOGRAFIA E INFORMARLE ALA PERSONA QUE LE VA A TOMAR EL ESTUDIO. ESTE ESTUDIO SE REALIZA EN SUCURSAL ZAPOPAN, SUCURSAL LAPIZLAZULI , SUCURSAL TLAQUEPAQUE, SUCURSAL CENTRO GUADALAJARA, SUCURSAL SALTO, SUCURSAL CENTRO SUR.
15 min
0 MXN

PARA ESTE ESTUDIO SE REQUIERE RETIRAR OBJETOS DE METAL DEL CUELLO HACIA ARRIBA, ASISTIR A SU CITA POR LO MENOS 10 MINUTOS ANTES. SI EXISTE LA POSIBILIDAD DE QUE SE ENCUENTRE EMBARAZADA, SOLICITAR AUTORIZACION DE SU MEDICO ANTES DE TOMARSE LA RADIOGRAFIA E INFORMARLE ALA PERSONA QUE LE VA A TOMAR EL ESTUDIO. ESTE ESTUDIO SE REALIZA EN SUCURSAL ZAPOPAN, SUCURSAL LAPIZLAZULI , SUCURSAL TLAQUEPAQUE, SUCURSAL CENTRO GUADALAJARA, SUCURSAL SALTO, SUCURSAL CENTRO SUR.
PARA ESTE ESTUDIO SE REQUIERE RETIRAR OBJETOS DE METAL DEL CUELLO HACIA ARRIBA, ASISTIR A SU CITA POR LO MENOS 10 MINUTOS ANTES. SI EXISTE LA POSIBILIDAD DE QUE SE ENCUENTRE EMBARAZADA, SOLICITAR AUTORIZACION DE SU MEDICO ANTES DE TOMARSE LA RADIOGRAFIA E INFORMARLE ALA PERSONA QUE LE VA A TOMAR EL ESTUDIO. ESTE ESTUDIO SE REALIZA EN SUCURSAL ZAPOPAN, SUCURSAL LAPIZLAZULI , SUCURSAL TLAQUEPAQUE, SUCURSAL CENTRO GUADALAJARA, SUCURSAL SALTO, SUCURSAL CENTRO SUR.
15 min
0 MXN

PARA ESTE ESTUDIO SE REQUIERE RETIRAR OBJETOS DE METAL DEL CUELLO HACIA ARRIBA, ASISTIR A SU CITA POR LO MENOS 10 MINUTOS ANTES. SI EXISTE LA POSIBILIDAD DE QUE SE ENCUENTRE EMBARAZADA, SOLICITAR AUTORIZACION DE SU MEDICO ANTES DE TOMARSE LA RADIOGRAFIA E INFORMARLE ALA PERSONA QUE LE VA A TOMAR EL ESTUDIO.PARA ESTE ESTUDIO SE REQUIERE RETIRAR OBJETOS DE METAL DEL CUELLO HACIA ARRIBA, ASISTIR A SU CITA POR LO MENOS 10 MINUTOS ANTES.
PARA ESTE ESTUDIO SE REQUIERE RETIRAR OBJETOS DE METAL DEL CUELLO HACIA ARRIBA, ASISTIR A SU CITA POR LO MENOS 10 MINUTOS ANTES. SI EXISTE LA POSIBILIDAD DE QUE SE ENCUENTRE EMBARAZADA, SOLICITAR AUTORIZACION DE SU MEDICO ANTES DE TOMARSE LA RADIOGRAFIA E INFORMARLE ALA PERSONA QUE LE VA A TOMAR EL ESTUDIO.PARA ESTE ESTUDIO SE REQUIERE RETIRAR OBJETOS DE METAL DEL CUELLO HACIA ARRIBA, ASISTIR A SU CITA POR LO MENOS 10 MINUTOS ANTES.
15 min
0 MXN

PARA ESTE ESTUDIO SE REQUIERE RETIRAR OBJETOS DE METAL DEL CUELLO HACIA ARRIBA, ASISTIR A SU CITA POR LO MENOS 10 MINUTOS ANTES. SI EXISTE LA POSIBILIDAD DE QUE SE ENCUENTRE EMBARAZADA, SOLICITAR AUTORIZACION DE SU MEDICO ANTES DE TOMARSE LA RADIOGRAFIA E INFORMARLE ALA PERSONA QUE LE VA A TOMAR EL ESTUDIO.
PARA ESTE ESTUDIO SE REQUIERE RETIRAR OBJETOS DE METAL DEL CUELLO HACIA ARRIBA, ASISTIR A SU CITA POR LO MENOS 10 MINUTOS ANTES. SI EXISTE LA POSIBILIDAD DE QUE SE ENCUENTRE EMBARAZADA, SOLICITAR AUTORIZACION DE SU MEDICO ANTES DE TOMARSE LA RADIOGRAFIA E INFORMARLE ALA PERSONA QUE LE VA A TOMAR EL ESTUDIO.
15 min
0 MXN

PARA ESTE ESTUDIO SE REQUIERE RETIRAR OBJETOS DE METAL DEL CUELLO HACIA ARRIBA, ASISTIR A SU CITA POR LO MENOS 10 MINUTOS ANTES. SI EXISTE LA POSIBILIDAD DE QUE SE ENCUENTRE EMBARAZADA, SOLICITAR AUTORIZACION DE SU MEDICO ANTES DE TOMARSE LA RADIOGRAFIA E INFORMARLE ALA PERSONA QUE LE VA A TOMAR EL ESTUDIO. ESTE ESTUDIO SE REALIZA EN SUCURSAL ZAPOPAN, SUCURSAL LAPIZLAZULI , SUCURSAL TLAQUEPAQUE, SUCURSAL CENTRO GUADALAJARA, SUCURSAL SALTO, SUCURSAL CENTRO SUR.
PARA ESTE ESTUDIO SE REQUIERE RETIRAR OBJETOS DE METAL DEL CUELLO HACIA ARRIBA, ASISTIR A SU CITA POR LO MENOS 10 MINUTOS ANTES. SI EXISTE LA POSIBILIDAD DE QUE SE ENCUENTRE EMBARAZADA, SOLICITAR AUTORIZACION DE SU MEDICO ANTES DE TOMARSE LA RADIOGRAFIA E INFORMARLE ALA PERSONA QUE LE VA A TOMAR EL ESTUDIO. ESTE ESTUDIO SE REALIZA EN SUCURSAL ZAPOPAN, SUCURSAL LAPIZLAZULI , SUCURSAL TLAQUEPAQUE, SUCURSAL CENTRO GUADALAJARA, SUCURSAL SALTO, SUCURSAL CENTRO SUR.
15 min
0 MXN

PARA ESTE ESTUDIO SE REQUIERE RETIRAR OBJETOS DE METAL DEL CUELLO HACIA ARRIBA, ASISTIR A SU CITA POR LO MENOS 10 MINUTOS ANTES. SI EXISTE LA POSIBILIDAD DE QUE SE ENCUENTRE EMBARAZADA, SOLICITAR AUTORIZACION DE SU MEDICO ANTES DE TOMARSE LA RADIOGRAFIA E INFORMARLE ALA PERSONA QUE LE VA A TOMAR EL ESTUDIO.
PARA ESTE ESTUDIO SE REQUIERE RETIRAR OBJETOS DE METAL DEL CUELLO HACIA ARRIBA, ASISTIR A SU CITA POR LO MENOS 10 MINUTOS ANTES. SI EXISTE LA POSIBILIDAD DE QUE SE ENCUENTRE EMBARAZADA, SOLICITAR AUTORIZACION DE SU MEDICO ANTES DE TOMARSE LA RADIOGRAFIA E INFORMARLE ALA PERSONA QUE LE VA A TOMAR EL ESTUDIO.
15 min
0 MXN

PARA ESTE ESTUDIO SE REQUIERE RETIRAR OBJETOS DE METAL DEL CUELLO HACIA ARRIBA, ASISTIR A SU CITA POR LO MENOS 10 MINUTOS ANTES. SI EXISTE LA POSIBILIDAD DE QUE SE ENCUENTRE EMBARAZADA, SOLICITAR AUTORIZACION DE SU MEDICO ANTES DE TOMARSE LA RADIOGRAFIA E INFORMARLE ALA PERSONA QUE LE VA A TOMAR EL ESTUDIO.
PARA ESTE ESTUDIO SE REQUIERE RETIRAR OBJETOS DE METAL DEL CUELLO HACIA ARRIBA, ASISTIR A SU CITA POR LO MENOS 10 MINUTOS ANTES. SI EXISTE LA POSIBILIDAD DE QUE SE ENCUENTRE EMBARAZADA, SOLICITAR AUTORIZACION DE SU MEDICO ANTES DE TOMARSE LA RADIOGRAFIA E INFORMARLE ALA PERSONA QUE LE VA A TOMAR EL ESTUDIO.
15 min
0 MXN

PARA ESTE ESTUDIO SE REQUIERE RETIRAR OBJETOS DE METAL DEL CUELLO HACIA ARRIBA, ASISTIR A SU CITA POR LO MENOS 10 MINUTOS ANTES. SI EXISTE LA POSIBILIDAD DE QUE SE ENCUENTRE EMBARAZADA, SOLICITAR AUTORIZACION DE SU MEDICO ANTES DE TOMARSE LA RADIOGRAFIA E INFORMARLE ALA PERSONA QUE LE VA A TOMAR EL ESTUDIO.
PARA ESTE ESTUDIO SE REQUIERE RETIRAR OBJETOS DE METAL DEL CUELLO HACIA ARRIBA, ASISTIR A SU CITA POR LO MENOS 10 MINUTOS ANTES. SI EXISTE LA POSIBILIDAD DE QUE SE ENCUENTRE EMBARAZADA, SOLICITAR AUTORIZACION DE SU MEDICO ANTES DE TOMARSE LA RADIOGRAFIA E INFORMARLE ALA PERSONA QUE LE VA A TOMAR EL ESTUDIO.
15 min
0 MXN

PARA ESTE ESTUDIO SE REQUIERE RETIRAR OBJETOS DE METAL DEL CUELLO HACIA ARRIBA, ASISTIR A SU CITA POR LO MENOS 10 MINUTOS ANTES. SI EXISTE LA POSIBILIDAD DE QUE SE ENCUENTRE EMBARAZADA, SOLICITAR AUTORIZACION DE SU MEDICO ANTES DE TOMARSE LA RADIOGRAFIA E INFORMARLE ALA PERSONA QUE LE VA A TOMAR EL ESTUDIO.
PARA ESTE ESTUDIO SE REQUIERE RETIRAR OBJETOS DE METAL DEL CUELLO HACIA ARRIBA, ASISTIR A SU CITA POR LO MENOS 10 MINUTOS ANTES. SI EXISTE LA POSIBILIDAD DE QUE SE ENCUENTRE EMBARAZADA, SOLICITAR AUTORIZACION DE SU MEDICO ANTES DE TOMARSE LA RADIOGRAFIA E INFORMARLE ALA PERSONA QUE LE VA A TOMAR EL ESTUDIO.
15 min
0 MXN

PARA ESTE ESTUDIO SE REQUIERE RETIRAR OBJETOS DE METAL DEL CUELLO HACIA ARRIBA, ASISTIR A SU CITA POR LO MENOS 10 MINUTOS ANTES. SI EXISTE LA POSIBILIDAD DE QUE SE ENCUENTRE EMBARAZADA, SOLICITAR AUTORIZACION DE SU MEDICO ANTES DE TOMARSE LA RADIOGRAFIA E INFORMARLE ALA PERSONA QUE LE VA A TOMAR EL ESTUDIO.PARA ESTE ESTUDIO SE REQUIERE RETIRAR OBJETOS DE METAL DEL CUELLO HACIA ARRIBA, ASISTIR A SU CITA POR LO MENOS 10 MINUTOS ANTES.
PARA ESTE ESTUDIO SE REQUIERE RETIRAR OBJETOS DE METAL DEL CUELLO HACIA ARRIBA, ASISTIR A SU CITA POR LO MENOS 10 MINUTOS ANTES. SI EXISTE LA POSIBILIDAD DE QUE SE ENCUENTRE EMBARAZADA, SOLICITAR AUTORIZACION DE SU MEDICO ANTES DE TOMARSE LA RADIOGRAFIA E INFORMARLE ALA PERSONA QUE LE VA A TOMAR EL ESTUDIO.PARA ESTE ESTUDIO SE REQUIERE RETIRAR OBJETOS DE METAL DEL CUELLO HACIA ARRIBA, ASISTIR A SU CITA POR LO MENOS 10 MINUTOS ANTES.
15 min
0 MXN

PARA ESTE ESTUDIO SE REQUIERE RETIRAR OBJETOS DE METAL DEL CUELLO HACIA ARRIBA, ASISTIR A SU CITA POR LO MENOS 10 MINUTOS ANTES. SI EXISTE LA POSIBILIDAD DE QUE SE ENCUENTRE EMBARAZADA, SOLICITAR AUTORIZACION DE SU MEDICO ANTES DE TOMARSE LA RADIOGRAFIA E INFORMARLE ALA PERSONA QUE LE VA A TOMAR EL ESTUDIO.
PARA ESTE ESTUDIO SE REQUIERE RETIRAR OBJETOS DE METAL DEL CUELLO HACIA ARRIBA, ASISTIR A SU CITA POR LO MENOS 10 MINUTOS ANTES. SI EXISTE LA POSIBILIDAD DE QUE SE ENCUENTRE EMBARAZADA, SOLICITAR AUTORIZACION DE SU MEDICO ANTES DE TOMARSE LA RADIOGRAFIA E INFORMARLE ALA PERSONA QUE LE VA A TOMAR EL ESTUDIO.
15 min
0 MXN